Dental Implants in Rochester NY
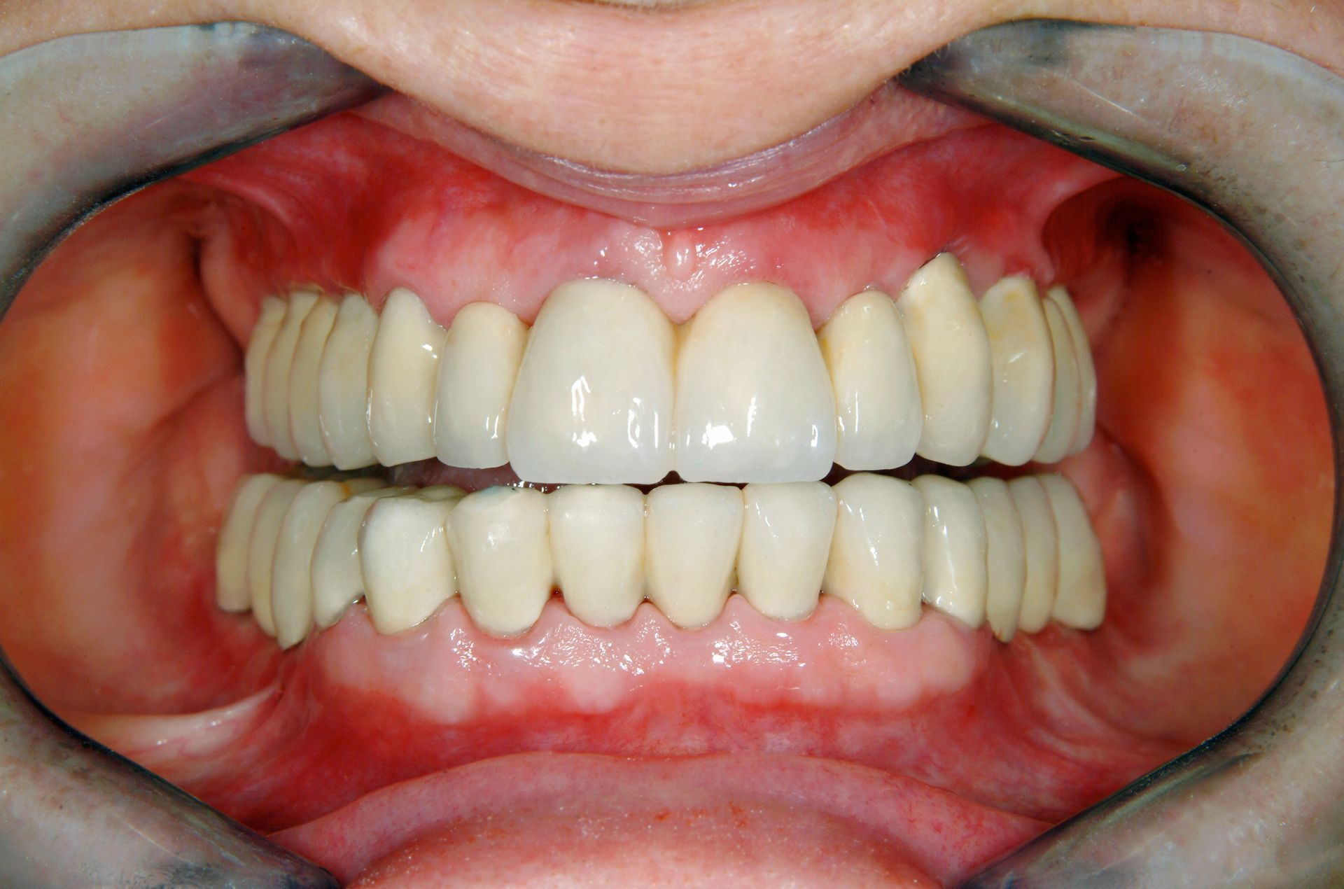
In the past, dentists replaced lost teeth using only dentures or bridges. Today, there's a more advanced way to replace missing teeth: dental implants. Dental implants are titanium posts that replace your teeth's roots, so it's like you're receiving brand new teeth.
If you're missing one tooth or more, ask Dr. Skeels about dental implants in Rochester, NY.
The Dental Implant Process
The entire dental implant process takes several months to complete, but you'll find that implants are worth the wait. Fortunately, the process typically doesn't cause pain. Here's what happens when you come to the office of Dr. Skeels for dental implants in Rochester, NY:
- Dr. Skeels takes X-rays and examines your mouth to create a treatment plan.
- When you're ready for the procedure, Dr Skeels will refer you to a specialist to place the implant.
- Over a 6- to 12-week period, your jawbone heals around the implant.
- Dr. Skeels creates an impression of your teeth in order to develop a replacement tooth.
- Once the implant heals, Dr. Skeels adds a connector post to the implant.
- Dr. Skeels attaches the replacement crown to the connector post.

Benefits of Dental Implants
Once you have your new implant, you'll be able to speak and eat like normal. You can even brush and floss your dental implant. Other benefits of dental implants include:
- They look and feel like natural teeth
- They're more comfortable than dentures (and you don't have to remove them)
- They'll typically last for a lifetime
With dental implants, you can smile confidently knowing your smile is healthy and complete.





